最短6カ月から
費用も期間も、
もう悩まない。
前歯中心の「矯正治療」で、賢く理想の笑顔へ。
月々
始められるマウスピース矯正治療
(税込:27.5万円で
84回払いした時のお支払い例となります。)
WEB予約


Please be happy.
最短6カ月から
費用も期間も、
もう悩まない。
前歯中心の「矯正治療」で、賢く理想の笑顔へ。
月々
始められるマウスピース矯正治療
WEB予約


Please be happy.
WEB予約


\ あなたに合った治療プランで /
理想の歯並びを実現
当院では、一人ひとりの歯並びや噛み合わせ、ライフスタイルに合わせたオーダーメイドの矯正プランをご提案します。無理のない治療期間と適切な方法で、理想の笑顔を目指します。


詳細はこちら ▼
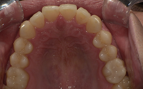
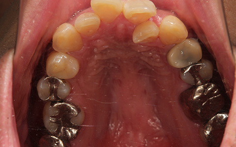
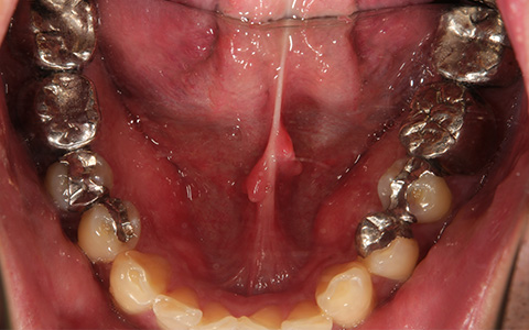
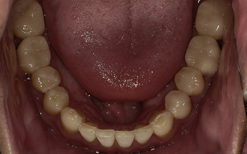
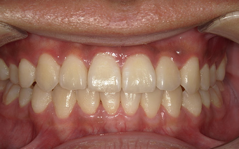
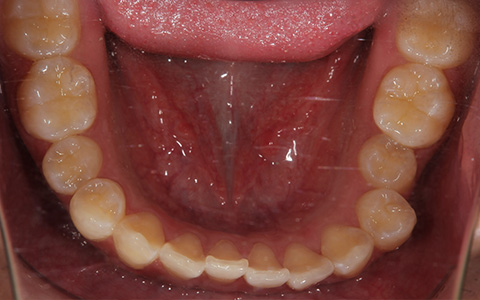
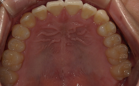
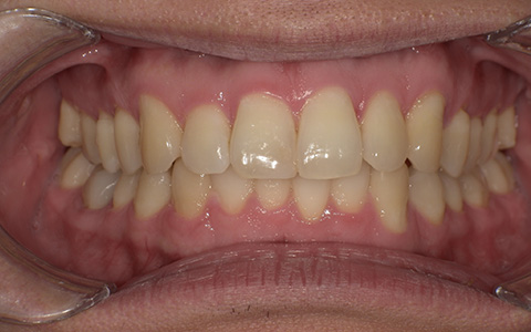
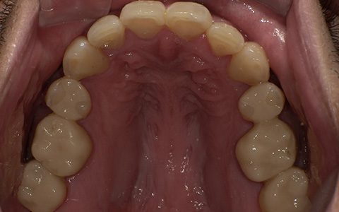
治療前
治療後
| 施術内容 | モデレートパッケージでの症例です。無理に歯を抜くのではなく、マウスピースによって少しずつ歯列のアーチを広げ、歯が並ぶためのスペースを確保。歯の「ねじれ」と「重なり」を緻密なシミュレーションに基づき解消していきました。 |
|---|---|
| 治療期間 | 1年5ヶ月 |
| 費用 | 598,000円(税込) |
| 年代 | 30代 |
| 性別 | 男性 |
| リスク・ 副作用 |
マウスピースを付けていないと、歯が動かないため、後戻りのリスクがあります。 |
相談料・精密検査代も
含んだトータルフィー あなたの歯並びに応じた
治療プランを用意しております
超軽度症例
エクスプレス
パッケージ
25 万円
(税込27.5万円)
軽度症例
ライトパッケージ
45.2 万円
(税込49.8万円)
中難易度症例
モデレート
パッケージ
54.3 万円
(税込59.8万円)
難症例
コンプリヘンシブ
パッケージ
72.7 万円
(税込80万円)
4つのプランをわかりやすく
比較してみましょう
| インビザラインの 種類 |
動かせる範囲 | 適応症例 | 費用相場 | 当院 |
|---|---|---|---|---|
| インビザライン エクスプレス |
上下16本 (片顎8本) |
超軽度な 歯列の乱れ |
20~40万 | 25万円 (税込:27.5万円) |
| インビザライン ライト |
上下28本 (片顎14本) |
軽度な 歯列の乱れ |
45~65万 | 45.2万円 (税込:49.8万円) |
| インビザライン モデレート |
上下28本 (片顎14本) |
中難易度な 歯列の乱れ |
45~65万 | 54.3万円 (税込:59.8万円) |
| インビザライン コンプリヘンシブ (フル) |
上下28本 (片顎14本) |
難症例にも 適応可能 |
80~100万 | 72.7万円 (税込:80万円) |
月々
始められる
マウスピース矯正治療
COUNSELING
-理想の笑顔は、美しい歯並びから-
まずはお気軽に
矯正無料カウンセリングへお越しください
無料相談実施中
お電話またはWEBより
ご予約お待ちしております
平日:9:00~13:00/14:15~17:30
土曜:9:00~13:00/14:00~16:30
MORE
VALUE PLANS
さらにオトクなプラン
CASE
症例のご紹介
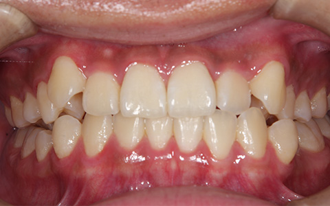
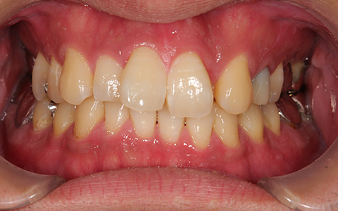
治療前
治療後
| 施術内容 | コンプリヘンシブ |
|---|---|
| 治療期間 | 21カ月 |
| リスク・副作用 | マウスピースを付けていないと、歯が動かないため、後戻りのリスクがあります。 |
| 費用 | 800,000円(税込み) |
| 年代 | 20代 |
| 性別 | 男性 |
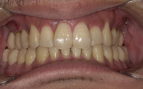
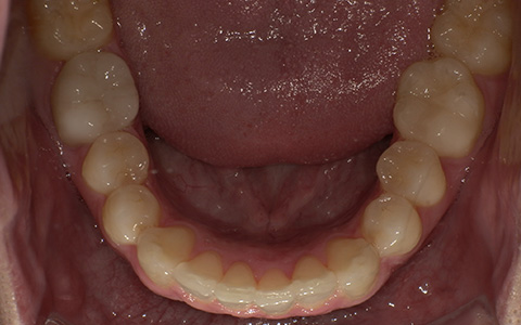
治療前
治療後
| 施術内容 | モデレート |
|---|---|
| 治療期間 | 17カ月 |
| リスク・副作用 | マウスピースを付けていないと、歯が動かないため、後戻りのリスクがあります。 |
| 費用 | 598,000円(税込み) |
| 年代 | 30代 |
| 性別 | 男性 |
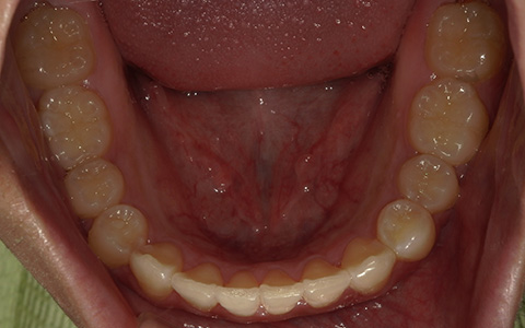
治療前
治療後
| 施術内容 | コンプリヘンシブ |
|---|---|
| 治療期間 | 35カ月 |
| リスク・副作用 | マウスピースを付けていないと、歯が動かないため、後戻りのリスクがあります。 |
| 費用 | 800,000円(税込み) |
| 年代 | 20代 |
| 性別 | 男性 |
MOUTHPIECE
ORTHODONTIC
当院のマウスピース矯正
27.5 万円(税込)
月々3,900円(税込)から始められる
マウスピース矯正を始めやすい身近な
歯科治療へ01
当院では少しでも多くの方にマウスピース矯正を気軽に受けていただけるよう、できる限り「始めやすい価格設定」を心掛けています。また患者さまの希望や状態に応じて適切な治療方法のご提案ができるよう豊富なマウスピース矯正装置を取り揃えています。
総合歯科医院だからできる全顎的なマウスピース
矯正治療02
当院は総合歯科医院として、むし歯や歯周病の治療はもちろん、審美治療やインプラント治療など患者さまの口腔内の状態に応じた併用治療にも対応しています。ただ歯並びを整えるだけでなく、長く快適に健康な口腔内を保っていただけるよう適切な治療計画をご提案してまいります。

協同治療
越智 信行医師03
インビザライン公認講師とは?
日本に十数名のインビザライン指導医のことを指します。インビザライン・ジャパン社からの依頼で、インビザライン治療を提供している歯科医師への指導を行っています。
無料カウンセリングの
実施04
当院では個室のカウンセリングルームを設けており、患者さまが不安や疑問に思うことを気兼ねにご相談いただける環境を整えています。気になることやご質問があればお気軽に無料カウンセリングにお越しください。
先端設備を整えた
正確な診断05
正確な治療には、正確な検査データが必要不可欠です。当院では豊富な設備を整え患者さまの口腔内の状態を細かくお調べしていきます。検査結果を元に、患者さまに合った装置の制作を行っていきます。
3D口腔内スキャナー
(iTero 5D 近赤外線(NIRI))を
使用した負担の少ない型どり06

短時間で
型どりが可能

嘔吐反射の
心配なし

事前シミュレーション
が可能
豊富な設備の1つが「光学スキャナー(i-Tero)」です。従来の型どりは印象材と呼ばれる粘土のようなものを口に入れて型をとっていましたが、i-Teroを使用することで短時間で患者さまの負担を最小限に抑えてデータの取得が可能になります。またデジタルデータを用いた事前シミュレーションにて歯が動く様子を確認していただくこともできます。
FLOW
矯正治療の流れ
月々
始められる
マウスピース矯正治療
COUNSELING
-理想の笑顔は、美しい歯並びから-
まずはお気軽に
矯正無料カウンセリングへお越しください
無料相談実施中
お電話またはWEBより
ご予約お待ちしております
平日:9:00~13:00/14:15~17:30
土曜:9:00~13:00/14:00~16:30
FEATURE
マウスピース矯正の特長
目立ちにくく
気づかれにくい01
マウスピース型矯正装置(インビザライン)は透明なプラスチック素材で作られているため、周囲の人から気づかれにくくなっています。
痛みが少ない02
ワイヤーを使用した矯正と比較すると、治療中の痛みが少なく済むため、患者さまの負担を抑えて治療を行っていただけます。
金属アレルギー
の心配なし03
マウスピース型矯正装置(インビザライン)は、金属を使用していないため、金属アレルギーをお持ちの方も安心して治療を受けていただけます。
口腔内トラブルが
起きにくい04
患者さま専用のマウスピース矯正装置を作成し、持続的にゆるやかな力をかけながら治療を行うため、口腔内のダメージが少なく済みます。
安心の実績05
マウスピース型矯正装置(インビザライン)は世界で1,200万人を超える患者さまの治療実績を持ち(2022年2月時点)、幅広い年齢層に適応可能な矯正装置です。
取り外しが可能06
マウスピース型矯正装置のため、取り外しが可能です。日常生活において、食事や歯みがきの際は取り外しができるため、口腔内を清潔に保つことができます。
ご存知でしたか?
歯並びが悪いことで
将来の歯の本数が
変わることを…
歯並びの違いによって
80歳で20本以上歯が
残っている可能性は?






不正咬合と歯の喪失リスクの関連性
※不正咬合があると、歯が抜けるリスクが高くなって
しまうことがわかります※
※参考:8020達成者の歯にみられたcervical lesionについて(2007)
※全体の8020の達成率は、約44.2%
FEE
治療費について
| カウンセリング | 無料 |
|---|
超軽度症例
| インビザライン エクスプレス |
250,000円 275,000円(税込) |
|---|
軽度~中等度の症例
| インビザライン ライト・ モデレート |
543,636円 598,000円(税込) |
|---|
重度の症例(通常症例)
| インビザライン コンプリヘンシブ (フル) |
727,273円 800,000円(税込) ※難症例の場合、 追加費用が発生する可能性があります |
|---|
お支払い方法
お支払いは現金の他、クレジットカード、デンタル
ローンがご利用いただけます。
現金
クレジットカード
デンタルローン





JCB / AMERICANEXPRESS / Diners / VISA / MasterCard
当院はデンタルローンを利用した
お支払いが可能です
医療費控除について

医療費控除とは、1年間(1月1日~12月31日)に10万円以上の医療費を支払った場合に一定の金額の所得控除を受けることができる制度です。
申告し忘れても5年前までさかのぼって医療費控除を受けることができます。詳しくは国税庁のホームページをご覧ください。
GREETING
ご挨拶
院長
平地 昭雄
AKIO HIRACHIはじめまして、
院長の平地昭雄です。
オレンジ歯科クリニックホームページにアクセスいただきありがとうございます。当院では、地域の方々のお口の健康を守り育てることができるように、患者さまそれぞれにあった治療方針をたて、適切な予防および治療を行います。むし歯など歯の悩みを作らない予防医療を大切に考え、地域の方々が歯を失う事がないよう専門的なお手伝いができる診療を考えています。
まずは今抱えていらっしゃる歯の治療を行うのが先決ですが、治療後いかにその良い状態を保てるかが重要になってきます。そのためには継続的なメンテナンスが必要です。不安や悩みを抱えている方には、当院ではわかりやすい説明・カウンセリングを行い治療を開始いたしますのでご安心ください。明るく元気なスタッフとともに、皆さまがお口も気持ちも健康で楽しく過ごしていただけるよう努力し続けていきたいと思います。
略歴
所属学会
CLINIC
医院紹介

| 診療時間 | 月 | 火 | 水 | 木 | 金 | 土 | 日 | 祝 |
|---|---|---|---|---|---|---|---|---|
| 9:00 - 13:00 | / | / | / | |||||
| 14:15 - 17:30 | / | ▲ | / | / |
▲/14:00 - 16:30 休診日/水、日、祝日
アクセス
皆さまのご来院を
お待ちしています
月々
始められる
マウスピース矯正治療
COUNSELING
-理想の笑顔は、美しい歯並びから-
まずはお気軽に
矯正無料カウンセリングへお越しください
無料相談実施中
お電話またはWEBより
ご予約お待ちしております
平日:9:00~13:00/14:15~17:30
土曜:9:00~13:00/14:00~16:30
QA
よくあるご質問
患者様一人ひとりのお口の状態によって異なりますが、実際当院では、1年半~2年で治療を終了することが多くなっています。痛みがご不安な方には、歯を動かすペースを緩やかに調整するなど、無理なく治療を進めていただけるよう配慮いたします。
詳細な治療期間の目安もご提示いたしますので、まずはお気軽にご相談ください。
マウスピースを装着してすぐは痛みや違和感がある場合もありますが、多くの場合は数日で慣れていきます。もしも痛みが長く続くようであればお気軽にご相談ください。
従来のワイヤー矯正では、一般的に月1回の調整が必要になり、そのたびに1時間ほどの来院が必要ですが、当院のインビザライン治療では、2〜3カ月に1度のご来院で治療を進めることが可能です。お忙しい方や遠方にお住まいの方にも、ご負担なく治療を続けていただきやすいのが特徴です。
※お口の状態や歯の動き方を確認し、より細やかな調整が必要と判断した場合は、月1度のご来院をお願いすることもございます。
基本的に食事と歯みがきの時以外は1日中装着をしていただきます。取り外す際は、マウスピースを紛失しないように専用のケースに入れて保管してください。
矯正治療で動かした歯には、元の位置に戻ろうとする自然な力が働きます。この「後戻り」を防ぎ、美しい歯並びを長く維持するために、当院では治療後の「保定期間」を設けております。治療完了後、歯並びを安定させるためのリテーナー(保定装置)を約1年間ご使用いただくことで、後戻りのリスクを最小限に抑えることができますのでご安心ください。
はい、当院ではデンタルローン(歯科治療専門の分割払い制度)をご利用いただけます。デンタルローンをご利用いただくことで、月々のお支払い額を最低3,800円からに抑えることが可能です。
治療費用にご不安がある方も、無理のないお支払いプランをご提案させていただきますので、安心してご相談ください。
詳しいお手続きやシミュレーションにつきましては、カウンセリングの際に丁寧にご説明いたします。
マウスピース(アライナー)を装着している間のお飲み物は、原則として「お水」または「人肌程度の白湯(40度以下)」のみとしていただくようお願いしております。マウスピースを装着している状態は、歯に唾液が循環しづらく、通常よりも虫歯のリスクが高まりやすい環境です。
砂糖を含むジュースやスポーツドリンクなどを摂取されますと、虫歯の発生に繋がるためお控えください。
また、無糖であってもお茶やコーヒーはマウスピースの着色の原因となり、一度付いた色は落ちにくくなります。
さらに、40度以上の熱い飲み物はマウスピースを変形させ、治療計画に影響を及ぼす恐れがあるためお控えください。
快適な治療のため、お水や白湯以外のお飲み物を召し上がる際は、必ずマウスピースを外していただくようお願いいたします。
マウスピースを装着したままの喫煙は、お口の健康および治療への影響を考慮し、当院ではお控えいただくようお願いしております。
コーヒーなどと同様に、タバコのヤニ(タール)はマウスピースの強い着色の原因となります。
一度付着した色は洗浄剤でも除去が困難です。
また、マウスピース装着中は唾液が歯に循環しづらく、通常よりも虫歯になりやすい環境です。喫煙は、このリスクを高めるだけでなく、歯茎の健康(歯周病)や歯の動きそのものにも悪影響を及ぼす可能性があります。
快適に治療を進め、健康な歯を維持するためにも、喫煙の際は必ずマウスピースを外していただくようお願いいたします。
インビザラインは、患者様お一人おひとりの精密な治療計画に基づき、当院が責任をもって管理しております。そのため、原則として他の医院へ治療計画を引き継ぐ「転院」が非常に難しく、大変恐縮ではございますが、お引っ越し先から引き続き当院へご来院いただく形をお願いしております。
当院としましては、患者様が治療を継続できるよう、通院間隔を可能な限り調整させていただくなど、ご負担を考慮し最大限配慮いたします。
ただし、アタッチメントの調整など、治療の進捗や処置のタイミングによっては、1カ月に1度のご来院をお願いする場合もございます。ご状況が分かり次第、まずはお早めに当院へご相談くださいませ。
矯正治療で動かした歯には、元の位置に戻ろうとする「後戻り」の力が働きます。この後戻りのしやすさには、治療で動かした歯の量や患者様のお口の状態によって「個人差」があります。中には使用頻度が少なくても後戻りしにくい方もいらっしゃいますが、多くの場合、保定装置の使用を怠ると後戻りが生じるリスクが高まります。
当院では、せっかく治療した美しい歯並びを、再度治療が必要な状態にしないために、「後戻りを予防すること」が何よりも重要だと考えております。
後戻りのリスクを最小限に抑え、美しい歯並びを長く維持していただくため、当院では「毎晩のご就寝中」の保定装置のご使用を推奨しております。
当院では、できる限り「非抜歯矯正」にこだわったマウスピース矯正を行っております。
横顔(Eライン)の改善を目的として健康な歯(小臼歯など)を抜歯することは、治療期間が長くなることや、健康な歯を失うデメリット、抜歯自体の患者様へのご負担(痛み)などを理由に、当院では積極的には行っておりません。
症例によっては抜歯をする方がより綺麗な横顔になるケースもあり、当院でも親知らずの抜歯を行って綺麗に歯を並べるケースもございますが、非抜歯矯正であっても、前歯の角度などを精密に改善することで、横顔のラインは十分に改善できる場合もございます。
患者様のご希望と骨格を詳細に診断した上で、最適な治療計画をご提案いたします。
IPRは、歯の最も外側にある「エナメル質」の範囲内で、歯の側面をごくわずかに(多くても0.25mm程度)研磨する処置です。エナメル質には神経が通っていないため、処置中に痛みを感じることはほとんどありません。
また、「処置後に歯がしみやすくなるのではないか」とご心配される方もいらっしゃいますが、適切な範囲内で行うIPRが知覚過敏や虫歯のリスクを増加させないことは、専門的な研究論文(※)でも報告されています。
この論文によれば、IPRを受けた61名中59名の患者様が「温度変化(冷たいものなど)に対する知覚過敏の増加はなかった」と報告しており、安全性の高い処置であることが示されています。
当院では、患者様のご負担がないよう、精密かつ安全に処置を行いますのでご安心ください。
(※参考文献:https://pubmed.ncbi.nlm.nih.gov/
17276856/)
ブラックトライアングルは、もともと歯が重なっていた部分が、矯正治療によって綺麗に整列した結果、これまで隠れていた歯と歯茎のすき間が見えてくる現象です。歯を大きく動かした場合など、治療の過程でどうしても発生してしまうことがございます。健康上の問題があるわけではございませんので、そのままでもご心配はいりません。
しかし、見た目が気になられる場合には、歯の表面に詰め物をおこない隙間を埋めるなど、目立たなくさせる治療法もございます。
治療のどの段階で対処できるかも含め、最適な方法をご提案いたしますので、見た目が気になる場合はお気軽にご相談ください。